产品中心Cell Resources
联系我们CONTACT US
18225607483
24小时服务热线
355185756@qq.com销售邮箱
产品详情
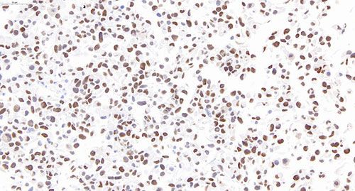
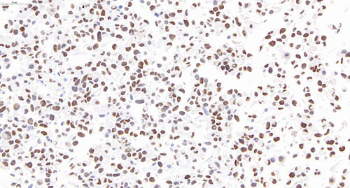
细胞芯片免疫组化染色,是将许多不同处理的细胞以规则的微阵列方式排列于同一载体上,同时进行相同指标的免疫组化检测。该技术具有高通量 、标准化、可重复性高、操作简便等优点。有效解决了细胞爬片细胞易脱落、批间差异大、工作量繁杂、准确性低的问题。细胞芯片是目前基因芯片、蛋白芯片、组织芯片的有力补充。解决了细胞水平高通量、高效检测的困境。
| 货号 | 名称 | 规格 | 价格(元) |
| BY-80134 | 细胞芯片ICC检测+扫描分析 | 张 | 520 |
实验结果展示:
实验流程:
切片脱蜡至水-抗原修复-3%的双氧水处理-画圈-血清封闭-一抗4℃过夜孵育-二抗室温孵育-显色-苏木素染核-脱水、透明、封片-镜检-扫描分析
送样运输要求:
细胞做芯片免疫组化,固定液固定后,密封4℃运输,固定时间不宜过长








