科研好帮手 专业生产商
本公司产品仅供科研使用
18225607483
购物车
货号:BY-80141
规格:张
价格: ¥ 80.00
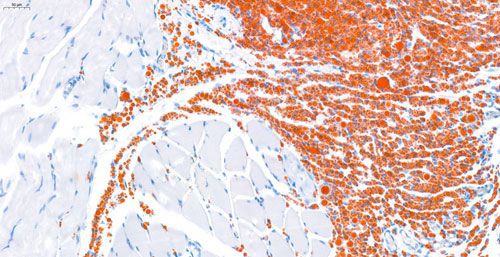
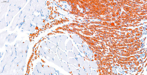
数字切片扫描是将物质化的玻片标本快速数字化的过程,能高效、高清晰、全信息的图像采集,是真正脱离显微镜的阅片方式。能长期保存,可满足临床、科研、教学等多种用途。油红O扫描是改善实验中无法完全避免的贴片不平整、叠片、厚等导致无法清楚成像问题。
实验结果展示:
实验流程:
(1)样片接收:冰冻切片
(2)实验步骤:切片清理-入机扫描-结果整理
(3)实验结果:电子版扫描结果
送样运输要求:
切片盒保存4°运输