产品中心Cell Resources
联系我们CONTACT US
18225607483
24小时服务热线
355185756@qq.com销售邮箱
产品详情
原位杂交原理:原位杂交是指将特定标记的已知顺序核酸为探针与细胞或组织切片中核酸进行杂交,从而对特定核酸顺序进行精确定量定位的过程。原位杂交可以在细胞标本或组织标本上进行。
| 货号 | 名称 | 规格 | 价格(元) |
| FY-07223 | 原位杂交(BCIP/NBT) | 张 | 240 |
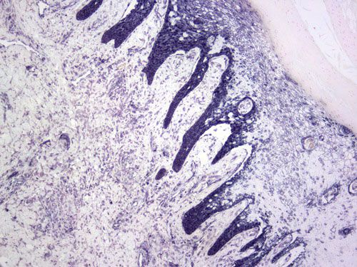
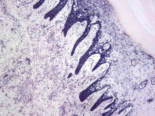
实验结果展示:
小鼠-mir-26a-肿瘤-BCIP/NBT
人 –皮肤-BCIP/NBT
实验流程:
1、组织固定:组织取出洗净后立即放入固定液(DEPC水配制)中固定2-12h。
2、脱水:组织固定完成后经梯度酒精脱水后浸蜡,包埋。
3、切片:石蜡经切片机切片,摊片机捞片,62°烤箱烤片2h。
4、石蜡切片脱蜡至水:依次将切片放入二甲苯Ⅰ15min-二甲苯Ⅱ15min-无水乙醇Ⅰ5min-无水乙醇Ⅱ5min-85%酒精5min-75%酒精5min-DEPC水洗。
5、消化:根据组织固定时间长短,切片于修复液中煮沸10-15分钟,自然冷却。后基因笔画圈,根据不同组织不同指标特性,滴加蛋白酶K(20ug/ml) 37°消化20-30 min。纯水冲洗后PBS洗3次×5min。
6、预杂交:滴加预杂交液,37°C孵育1h。
7、杂交:倾去预杂交液,滴加含探针杂交液,恒温箱 37度杂交过夜。
8、杂交后洗涤:洗去杂交液,2×SSC,37°C 洗10min,1×SSC,37°C洗2×5min,0.5×SSC室温洗10min。若非特异杂交体较多,可以增加甲酰胺洗涤。
9、滴加封闭液:滴加封闭血清 BSA。室温30min。
10、滴加鼠抗地高辛标记碱性磷酸酶(anti-DIG-AP):倾去封闭液,滴加anti-DIG-AP。37°C孵育40min,后TBS洗4次×5min。
11、BCIP/NBT显色:滴加BCIP/NBT显色液,显微镜观察阳性。后纯水冲洗。
12、复染细胞核:滴加核固红染液,染核至合适程度后纯水冲洗。
13、封片:自然风干后,中性树胶封片。
14、显微镜检,图像采集分析。
结果判读:
阳性为蓝色,蓝紫色。细胞核为红色。
送样运输要求:
冰切:标本放原位杂交固定液中,常温运输;冰冻切片-20°运输。
石蜡:标本放原位杂交固定液中,常温运输;石蜡切片常温运输。
细胞爬片:细胞爬片加原位杂交固定液固定15min后,密封,4度运输。共聚焦皿
新鲜组织:组织取出后可以立即冷冻处理,后干冰运输到武汉进行后续冰冻切片处理。新鲜组织-80°保存。








