技术支持Technical Support
联系我们CONTACT US
18225607483
24小时服务热线
355185756@qq.com销售邮箱
病理特殊染色合集,用途加结果判读
来源:德尔夫生物 发布时间:2021-05-19
一、粘糖类
病理糖原染色液(PAS)+ 淀粉酶溶液
用途:用于组织细胞血糖原和霉菌的染色
结果判读:霉菌、糖原、中性粘液物质呈红色,胞核呈蓝色。
爱先蓝-糖原染色液(AB-PAS)(pH2.5)
用途:用于含唾液酸粘液物质和新型隐球菌的染色
结果判读:酸性粘液物质染蓝色,细胞核及其它组织染红色。新型隐球菌的荚膜呈蓝色。
爱先蓝-糖原(AB-PAS)染色液
用途:定性鉴定多糖中的酸粘蛋白
结果判读:酸性粘液物质染蓝色,中性粘液物质呈红色,混合粘液物质呈蓝紫色,细胞核呈浅蓝色。
二、微生物类(方法很多,选了两种举例)
病理抗酸染色液
用途:用于组织细胞中结核杆菌、麻风杆菌等细菌的抗酸染色
结果判读:在淡绿色的背景下,抗酸性菌(如结合杆菌)呈红色,其它细胞及细胞呈绿色
乙型肝炎病毒染色液(Shikata地衣红法)
用途:用于组织学病毒的染色
结果判读:肝细胞内的乙型肝炎表面抗原染成棕红色,呈微细颗粒状或均质状。
三、沉淀物类
甲醇刚果红染色液 (ArtisanTM Congo Red Stain Kit)
用途:用于定性组织学染色,有选择性的对组织中的淀粉体染色
结果判读:淀粉样物质、红细胞、弹力纤维染红色,细胞核呈蓝色,背景淡黄粉色。
黑色素染色液(硫酸亚铁法Masson-Fontana)
用途:用于定性组织学黑色素的染色
结果判读:黑色素呈绿色或者墨绿色,胶原纤维红色,肌纤维黄色。
钙盐染色液(硝酸银法Von Kossa )
用途:用于组织学钙盐染色
结果判读:钙盐至褐黑至深黑色。
四、细胞类
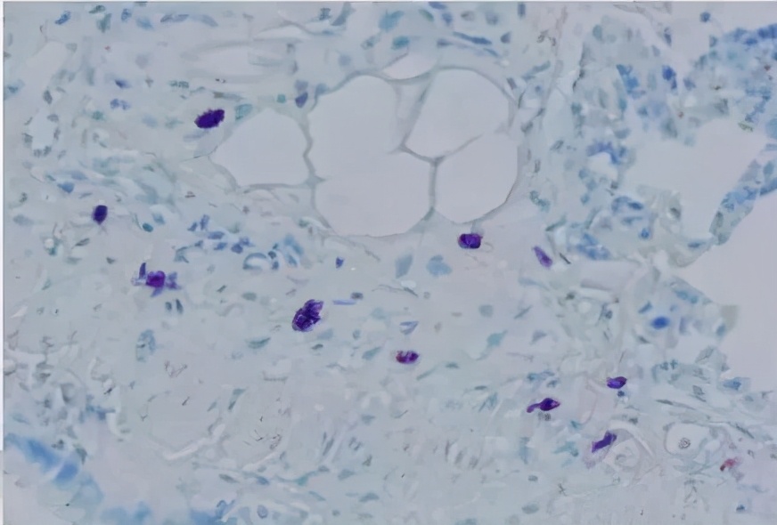
肥大细胞染色液(甲苯胺蓝法Solarbio)
用途:用于组织学肥大细胞染色
结果判读:肺大细胞颗粒呈蓝紫色,胞核蓝色
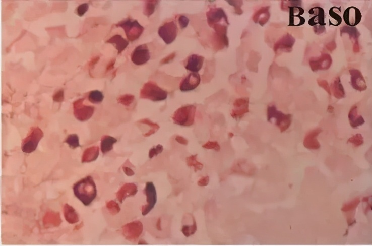
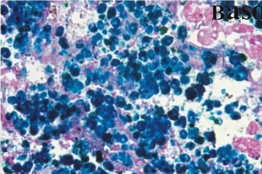
肾上腺嗜铬细胞染色液(姬姆萨法Giemsa staining)
用途:用于定性组织学肾上腺嗜铬细胞的染色
结果判读:嗜铬细胞胞质颗粒呈绿蓝色,胞核蓝色,结缔组织浅红色






